Toggle navigation
(04)2471-1567
植牙懶人包
診所介紹
診所理念
診所環境
醫療團隊
醫療項目
重點治療項目
飛秒植牙
一日植牙
植牙全口重建
植牙+活動假牙
糖尿病‧高血壓植牙
前牙美學植牙
全口4顆植牙
全口6顆植牙
全口10顆植牙
鼻竇增高補骨
治療項目
全瓷美學假牙
假牙全口重建
微創齒槽骨整形術
拯救他院植牙案例
客製化微笑設計
牙周病治療
阻生智齒拔除
兒童牙科
兒童早期矯正(MRC)
3D齒雕(除汞治療)
案例分享
3D電腦斷層植牙
開窗提竇術
全口植牙
立即植牙
無翻瓣微創植牙
前牙植牙
糖尿病‧高血壓植牙
全口 4 顆植牙
全口 6 顆植牙
全口 10 顆植牙
牙齒美白
拯救他院植牙案例
媒體報導
門診時間
交通資訊
線上評估單
微創齒槽骨整形術
拯救他院植牙案例
陳小姐
首頁
案例分享
牙齒美白
陳小姐
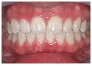
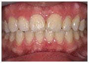
口內
治療前
治療後
微創齒槽骨整形術
拯救他院植牙案例
植牙實例
前牙植牙
快速植牙
糖尿病高血壓植牙
全口10顆植牙
全口6顆植牙
全口4顆植牙
×