陳女士
陳女士是上市公司的董事長夫人,時常需要交際應酬,但是前牙的假牙讓她困擾許久,希望尋求自然又美觀的假牙,最後於本診所接受人工植牙的治療,並且使用全瓷牙冠,效果自然,與其他牙齒極為搭配,讓人分辨不出真牙或假牙,陳女士有喝茶的習慣,特別要求假牙顏色不能死白,必須與所有牙齒一致,最後的結果令陳女士相當滿意。
X 光片
術前X光片
術後X光片
植牙過程
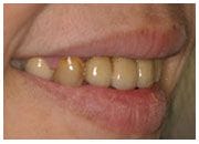
治療前
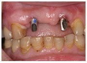
治療中
治療後
治療後
陳女士是上市公司的董事長夫人,時常需要交際應酬,但是前牙的假牙讓她困擾許久,希望尋求自然又美觀的假牙,最後於本診所接受人工植牙的治療,並且使用全瓷牙冠,效果自然,與其他牙齒極為搭配,讓人分辨不出真牙或假牙,陳女士有喝茶的習慣,特別要求假牙顏色不能死白,必須與所有牙齒一致,最後的結果令陳女士相當滿意。
術前X光片
術後X光片
治療前
治療中
治療後
治療後