朱教授從小就常跑牙醫,很容易蛀牙,牙齒常常從補牙變成假牙,最後假牙裡面的牙齒又蛀掉變成殘根而拔牙,幸好現在有了人工植牙,缺損的牙齒都以人工植牙來取代,並且選擇微創植牙方式,術後不適感相當輕微,還可以立刻正常上班上課,不影響教課的行程, 最重要的是,再也不需要擔心蛀牙的問題,朱教授非常的滿意。

 

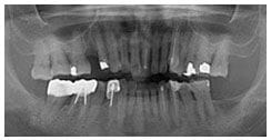
X 光片

術前X光片

術後X光片

植牙過程

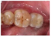
治療前

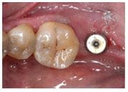
植入植體

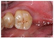
治療後


植牙實例