黃老太太
                                                                  活潑開朗的黃老太太,我們總是喜歡叫她"阿嬤",本身從事餐飲家族事業,但是因為一口所剩不多的牙齒,讓她連自己家裡的菜色都無法品嚐,而高齡七十多歲又有長期高血壓病史的她,對於植牙原本有很多疑慮, 經過黃醫師的植牙治療,現在的阿嬤,輕鬆自在的嚐遍山珍海味。
                                           
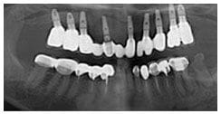
                                      X 光片
術前X光片
術後X光片
植牙過程
治療前
植入植體
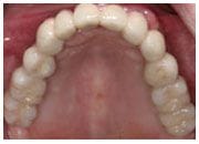
治療後