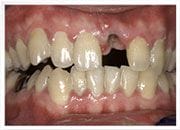
張簡老師因為打籃球而撞斷一顆門牙,特地從南投前來求診,希望可以尋求立刻解決美觀問題的治療方法,黃醫師以"立即拔牙、立即植牙、立即假牙" 的快速方式,在同一次門診時間內,快速將植牙與假牙完成,讓張簡老師可以 馬上恢復美觀,不影響正常的生活。

X 光片

術前X光片

術後X光片

植牙過程

治療前

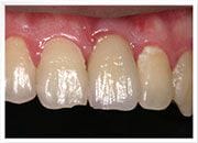
治療後

治療前

治療後


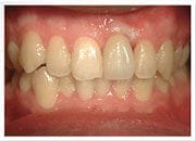
植牙實例