植牙+活動假牙
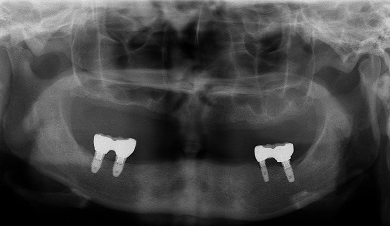
咬合時,主要的力量是來自牙齒、骨頭和牙肉相互合作。
植牙的目的,就是將原來已經失去的咬合能力復原,因此必須更謹慎的評估患者骨質的密度、高度和寬度是否都能滿足植牙的條件。
許多人缺牙多年後才想要植牙,但此時齒槽骨已萎縮,少了堅固的骨頭做為牙根的支撐當然不會穩固。因此可以把補骨想成幫牙根打地基,有了堅硬的地基再植入人工牙根,植牙效果才會穩定耐用。
案例
.jpg)
.jpg)
.jpg)
咬合時,主要的力量是來自牙齒、骨頭和牙肉相互合作。
植牙的目的,就是將原來已經失去的咬合能力復原,因此必須更謹慎的評估患者骨質的密度、高度和寬度是否都能滿足植牙的條件。
許多人缺牙多年後才想要植牙,但此時齒槽骨已萎縮,少了堅固的骨頭做為牙根的支撐當然不會穩固。因此可以把補骨想成幫牙根打地基,有了堅硬的地基再植入人工牙根,植牙效果才會穩定耐用。