沈先生

沈先生,上下顎的牙齒均脫落,必須配戴全口假牙,造成日常飲食十分不便,常常在吃東西時無法咀嚼,並且假牙時常脫落,為此每天感到焦慮,經過診所治療,現在已經不用安裝假牙了,並且在吃東西時也方便許多,經治療後的結果令沈先生相當滿意。
X 光片
全口X光片 治療後
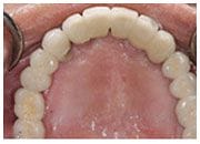
上顎治療
治療前
治療後
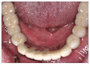
下顎治療
治療前
治療後
沈先生,上下顎的牙齒均脫落,必須配戴全口假牙,造成日常飲食十分不便,常常在吃東西時無法咀嚼,並且假牙時常脫落,為此每天感到焦慮,經過診所治療,現在已經不用安裝假牙了,並且在吃東西時也方便許多,經治療後的結果令沈先生相當滿意。
全口X光片 治療後
治療前
治療後
治療前
治療後