全瓷美學假牙
全瓷冠和傳統金屬內冠瓷冠不同點在於:
全瓷冠是由高硬度的鋯來取代傳統瓷牙冠的金屬內冠,再將瓷粉鍛燒在牙齒顏色的內冠上完成全瓷冠的製作。
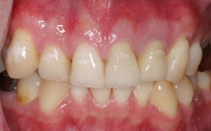
由於全瓷冠內沒有金屬成分,故在視覺效果上有極佳的穿透性,不會死白,齒頸部更不會因牙齦萎縮而露出黑黑的金屬線,不會有賤金屬腐蝕問題,對口腔環境亦無刺激性。隨著美觀越來越被重視,全瓷復形物對當代臨床牙科的應用是非常重要的!
全瓷冠優點有:
.極佳的光線穿透性,呈現極佳透明度,非常適合對美觀要求嚴苛的患者!
.假牙靠近牙齦處不會因牙齦萎縮而呈現黑黑的金屬線
.不會造成牙齦的刺激性,是目前公認非常接近自然牙齒的復形方式
假牙美學
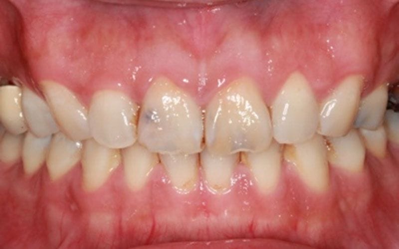
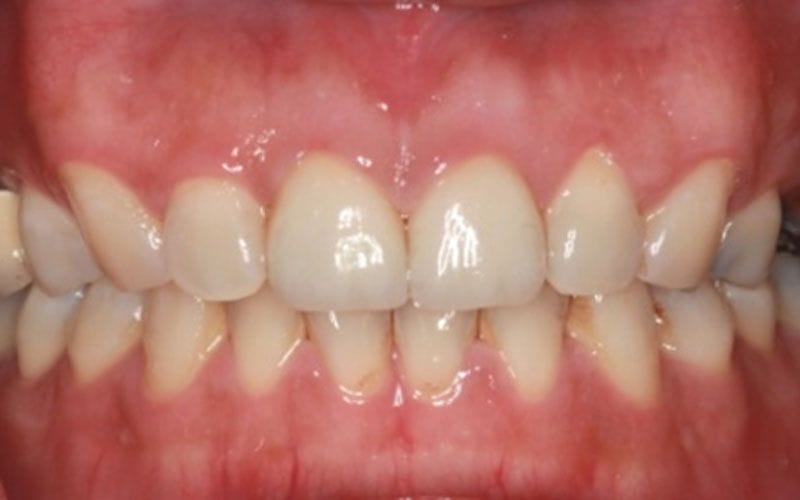
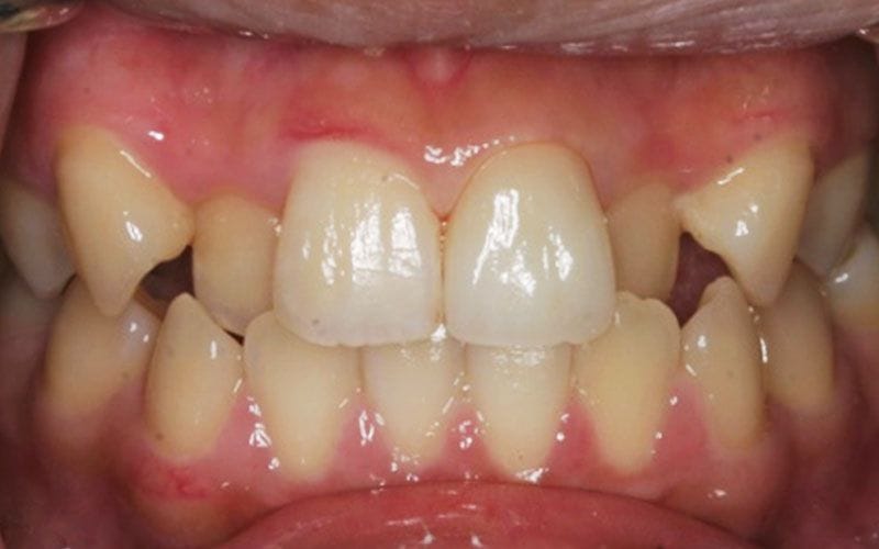
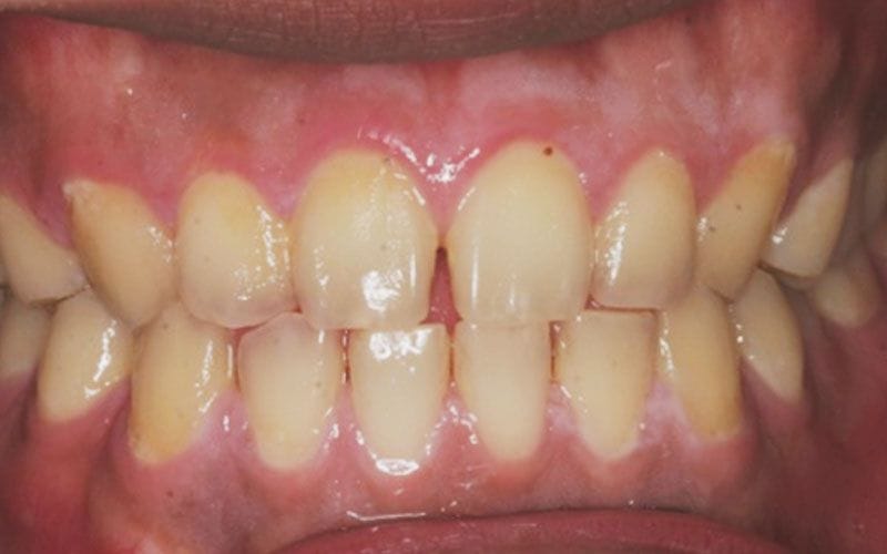
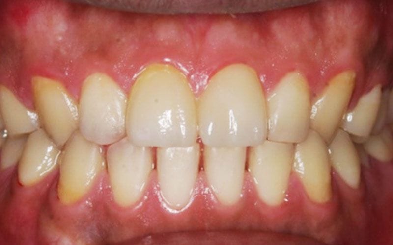
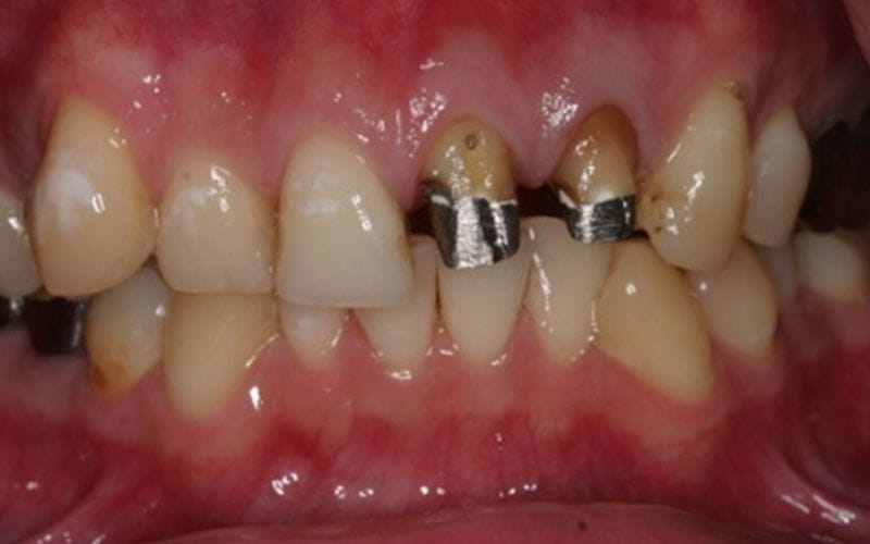
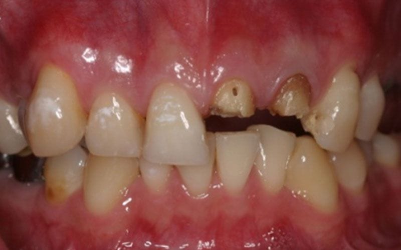
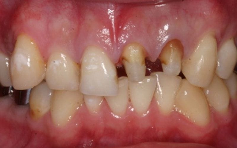
一般前牙美學重建
全瓷冠 (all ceramic crowns)



玻璃纖維冠心根柱 (glass fiber post and core)+ 全瓷冠 (all ceramic crowns)


貼片治療 (veneer)


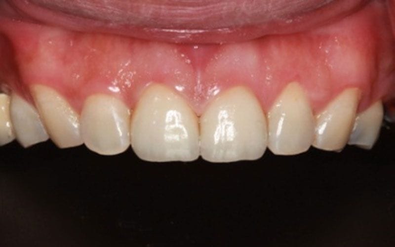
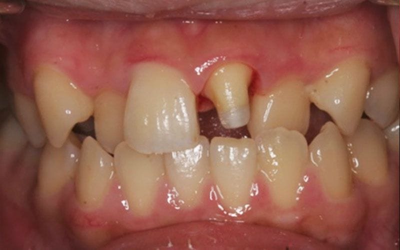
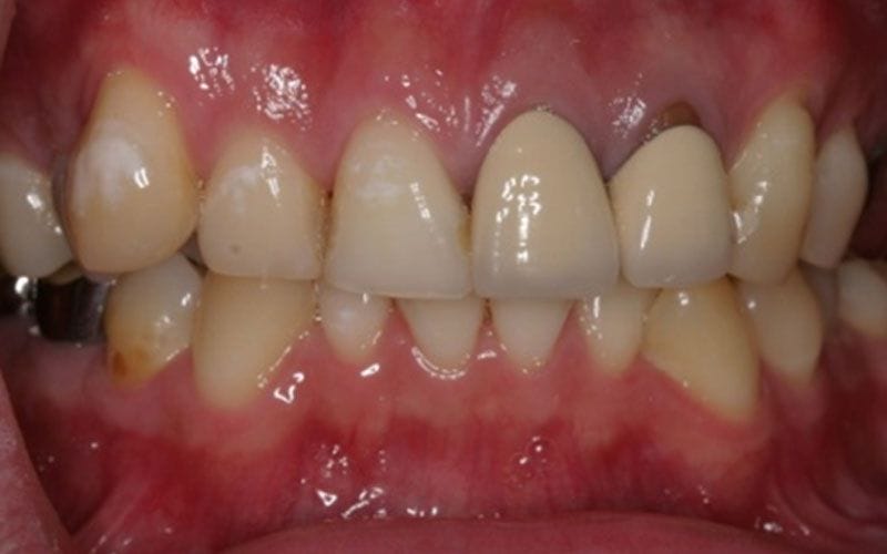
顯微根管與前牙美學
顯微根管治療
玻璃纖維冠心根柱 (glass fiber post and core)
全瓷冠 (all ceramic crowns)




