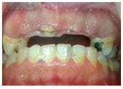
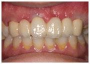
陳小姐正值二十出頭花樣年華,但是小時候做的牙橋,裡面的牙根己經腐壞,假牙搖搖欲墬,陳小姐雖然年紀輕輕,但是上排的牙齒所剩無幾,經過本診所人工植牙治療,陳小姐一改當初害羞不敢啟齒的個性,每次回診都是笑容滿面,陳小姐感謝黃醫師讓她重拾應有的青春美麗。

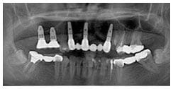
X 光片

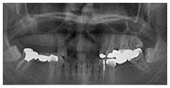
術前X光片

術後X光片

植牙過程

治療前

植入植體

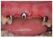
治療後


植牙實例