前牙美學植牙
前牙美學植牙
相對是植牙手術中比較困難的一個項目,通常人體上頷前牙區的骨頭比較薄,因此手術更增添了許多的困難度。
同時,由於病人比較注重門面,所以前牙的植牙,更需包含美觀的考量,是現代牙醫學裡面屬於較為複雜的範疇,需要專業牙醫師的經驗與技術。
如果您有前牙缺牙的問題,需要植牙治療,建議您找專業的醫師處理,讓您不僅可以恢復功能,更可以得到美觀的笑容
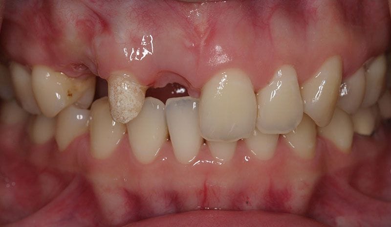
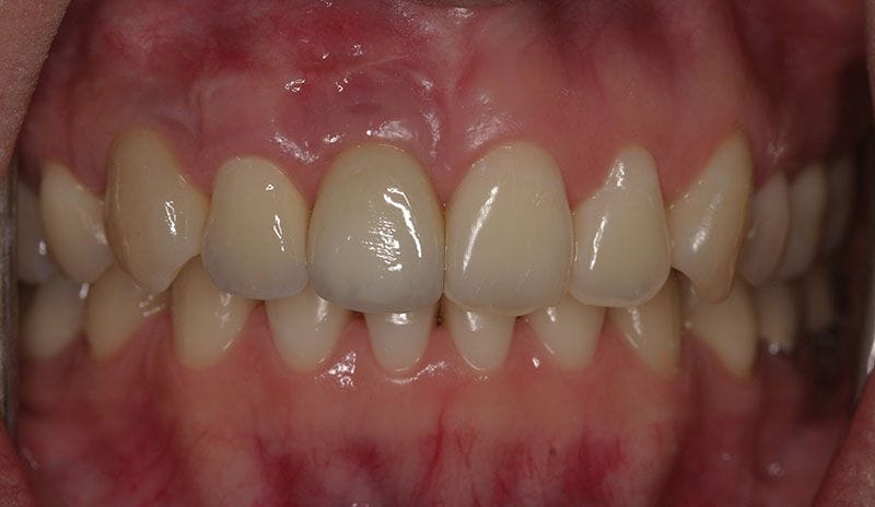
陳小姐是一位美貌與才氣兼具的事業女強人,在一次晚宴中,已經做了十多年的門牙假牙脫落,陳小姐緊急求助黃醫師,立刻進行"立即式植牙" ,將已經蛀壞的牙根拔除,植入人工牙根,再做上美觀的假牙,讓陳小姐無後顧之憂的面對明日的工作。
案例分享
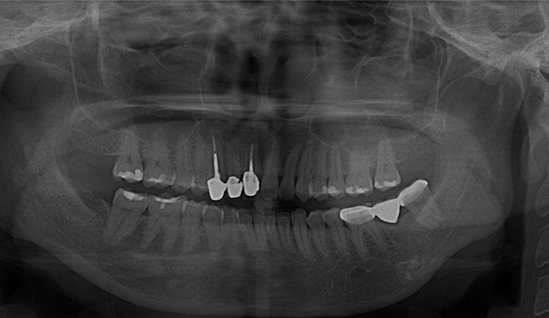
術前X光片
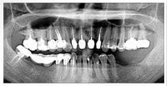
術後X光片






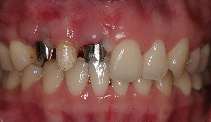
植牙過程
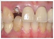
治療前
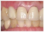
治療後
