吳老師因為糖尿病所以很早就患有牙周病,早年因為植牙尚未普及,所以一直配戴活動假牙,也因為糖尿病的緣故,遲遲不敢接受植牙治療前來本診所求診時,黃醫師強調" 糖尿病患者一樣可以享受植牙的好處"現在的吳老師已經可以丟掉不舒服,吃東西又不夠力的活動假牙,使用強而有力的植牙來好好享受退休的生活。

X 光片

術前X光片

術後X光片

植牙過程

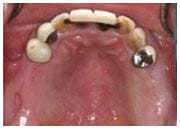
治療前

植入植體

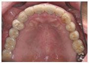
治療後


植牙實例