李先生
李先生年屆八十,滿口的牙齒剩不到一半,吃東西有困難,說話也口齒不清,原本擔心年紀太大,無法植牙,所幸經過謹慎的評估,將一口爛牙全部換成好用又堅固的人工植牙。
現在的牙齒宛如年輕時一般的健康好用,李先生開心的說,有健康的牙齒,才能愈活愈健康。
現在的牙齒宛如年輕時一般的健康好用,李先生開心的說,有健康的牙齒,才能愈活愈健康。
X 光片
術前X光片
術後X光片
植牙過程
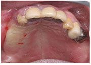
治療前
植入植體
治療前
植入植體
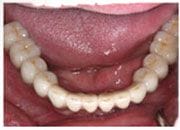
治療後