一日植牙
台中一日植牙|黃經理牙醫診所
.jpg)
黃經理牙醫診所院長-25年專業植牙經驗
留美植牙碩士(外交部認證)
- 紐約大學生物材料學碩士
- 紐約大學人工植牙與牙周病訓練醫師
- 紐約大學David B. Kriser人工植牙部醫師
- 中華民國口腔植體學會專科醫師
- 台灣植體學會專科醫師
您有聽過一日植牙嗎?台中一日植牙將拔牙與植牙手術合併在同一天,為您裝上臨時假牙,不但大幅縮短療程時間,也解決牙齒缺牙時的美觀與舒適問題。平日工作繁忙、假又難請,您可以選擇黃經理牙醫診所的台中快速植牙(台中立即植牙),從拔牙到裝臨時假牙只需就診一次,快速又方便,快來電預約體驗台中立即植牙/台中快速植牙!
什麼是一日植牙
一日植牙包含兩個特點,一個是拔牙的當天立即植入人工牙根,另一個是植入人工牙根的同一天放上假牙,從拔牙到裝上假牙只需要就診一次。
假牙裝上之後就沒問題了嗎?
一日植牙裝上的通常是臨時的假牙,主要是為了美觀,較不能提供咬合力量,也儘量會要求患者不要用這顆或這些臨時牙咬食物,還要再等三個月另外取模做假牙,期間要每二、三週回診一次,確定沒有不良反應。
不能當天直接裝上永久假牙嗎?
植牙手術的當天裝上永久假牙的風險仍高,因為植牙手術會造成植體周圍的骨質些許的不穩定與微量的骨吸收,在咬合力的影響下,骨質的不穩定與骨吸收的現象會變嚴重,所以仍要等待三個月,骨質穩定之後才能放上永久的牙齒。
一日植牙有什麼好處?
主要有兩個好處,一個是縮短療程,合併拔牙與植牙的手術在同一天,可以減少手術的次數,縮短整個療程,依傳統流程從拔牙到假牙完成需要六個月以上的時間,現在可以在拔牙與植牙的當天就得到一副暫時的牙齒,整體的治療時間也可以減少到三個月內完成假牙。另一個好處是美觀與舒適,不會有前牙缺牙的尷尬時間,也不會有使用臨時活動假牙的異物感 。一日植牙有什麼缺點?
拔牙與植牙在同一天的缺點較少,但如果植牙與裝上假牙在同一天,植牙與假牙會有比較高的失敗率,需要由醫師慎選條件良好的患者才能執行。並且需要密集的回診觀察,以確定植牙沒有間題,如發現不良反應,醫師會立即將假牙取下。等待三個月以後再裝上假牙,以減少植牙發生問題的機率,更嚴重的甚至需要將植體移除,再改回傳統的階段式植牙流程。
一日植牙會不會有什麼併發症?
一日植牙仍是一個小手術,所有手術可能產生的問題都可能會產生,雖然發生機會不大,偶爾會有術後的出血腫脹,傷口感染,甚至是植體失敗脫落,一定要小心謹慎。術前謹慎的檢查,術中及時的評估,術後按時服藥,切忌求快而強行實施一日植牙,都可以有效降低併發症的產生。
一日植牙的費用會比較貴嗎?
不會,一日植牙的過程與一般植牙的流程相同,只是縮短在同一個診次之內,收費也與一般植牙相同。
一日植牙需要補骨嗎?
不一定,醫師會依患者條件做適當的評估需不需要補骨,通常越需要補骨的患者越不適合使用一日植牙的流程。
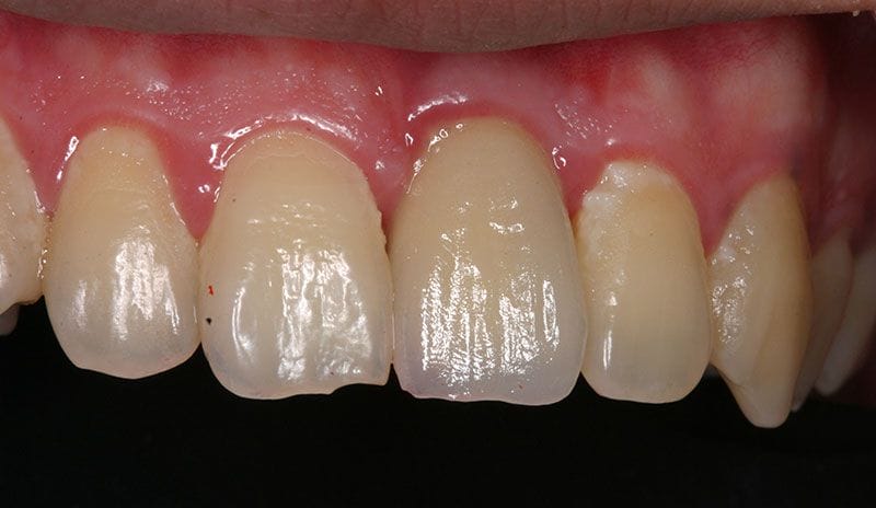
手術前
手術中
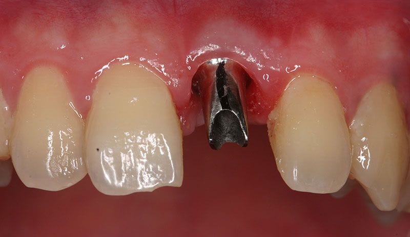
手術後
手術前
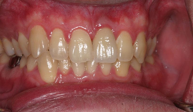
手術後