客製化微笑設計
每個病人的五官、臉型,微笑幅度等都是獨一無二的,沒有一個微笑是一模一樣的,因此在假牙製作的過程,專業的醫師應該考慮到每位病人的唇線、唇形、肌肉張力、笑線、臉孔比例、臉型、等等因素,做個人化的分析,再予以客製化的美學規劃。如此一來才能夠有客製化的微笑成果。
微笑曲線與黃金比例是專業醫師心中的一把尺,以此為準則,再針對個人特色來規劃,勢必能對病人有更佳美觀的建議,打造出適合每位病人,獨一無二的「客製化微笑」
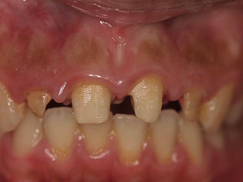
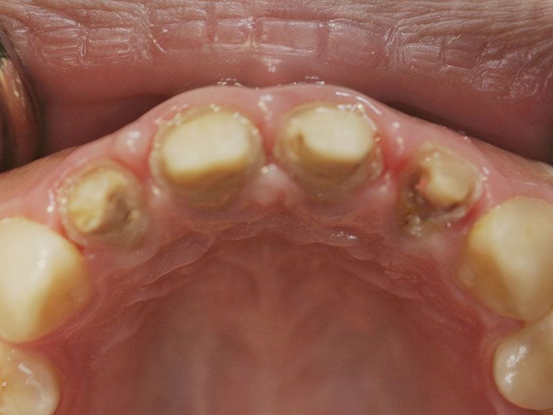
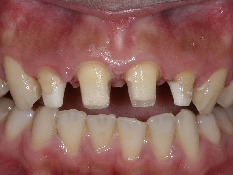
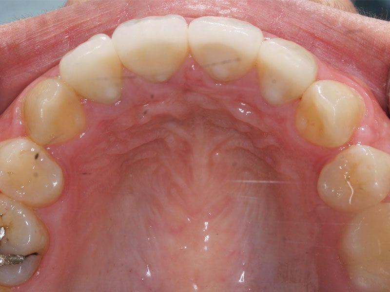
複雜前牙美學重建
氧化鋯全瓷冠心根柱(Cosmo post and core) + 玻璃纖維冠心根柱 (glass fiber post and core) + 牙冠增長術 + 齒槽骨修型術 + 全瓷冠 (all ceramic crowns)






