假牙全口重建
.jpg)
黃經理牙醫診所院長-25年專業植牙經驗
留美植牙碩士(外交部認證)
- 紐約大學生物材料學碩士
- 紐約大學人工植牙與牙周病訓練醫師
- 紐約大學David B. Kriser人工植牙部醫師
- 中華民國口腔植體學會專科醫師
- 台灣植體學會專科醫師
台中全口重建推薦-黃經理牙醫診所|為您找回自信微笑
台中全口重建推薦您黃經理牙醫診所!嚴重缺牙易造成生活中許多不便,台中全口重建專業黃經理牙醫診所,替您仔細檢查口腔牙齒狀況,先根除口腔內的問題,再為您設計製作理想假牙,全口重建不但能找回牙齒的正常功能性,也能找回您自信笑容。
現代人相對重視口腔健康與牙齒美觀,牙齒的形狀、顏色和排列等,皆會改變一個人笑起來的樣貌,進而影響整個人帶給別人的感受。台中全口重建即是以新式人工植牙方式進行「假牙贋復」,除了重視牙齒本身的使用功能外,同時亦能使牙齒變得自然、美觀。台中全口重建是依據個人的牙齒與口腔狀況,為您訂製客製化的重建治療計畫,讓您找回健康又美麗的寶貴牙齒!若您有任何全口重建的疑問,歡迎洽詢黃經理牙醫診所!
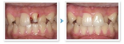
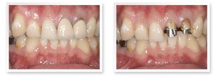
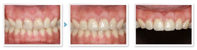
一般前牙美學重建
- 全瓷冠 (all ceramic crowns)
治療前
治療後
治療後
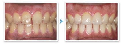
- 玻璃纖維冠心根柱 (glass fiber post and core)
- 全瓷冠 (all ceramic crowns)

治療前
治療後
- 貼片治療 (veneer)

治療前
治療後
免責聲明:效果因人而異,必須跟從專業醫師指引
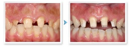
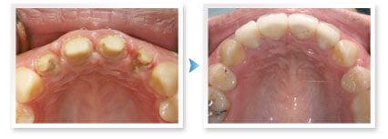
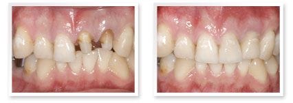
複雜前牙美學重建
- 氧化鋯全瓷冠心根柱 (Cosmo post and core)
- 玻璃纖維冠心根柱 (glass fiber post and core)
- 牙冠增長術
- 齒槽骨修型術
- 全瓷冠 (all ceramic crowns)


治療前
治療後

治療前
治療後

治療後
免責聲明:效果因人而異,必須跟從專業醫師指引
顯微根管與前牙美學
- 顯微根管治療
- 玻璃纖維冠心根柱 (glass fiber post and core)
- 全瓷冠 (all ceramic crowns)



免責聲明:效果因人而異,必須跟從專業醫師指引
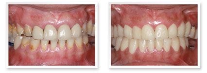
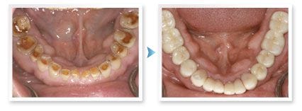
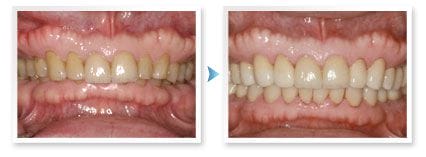
全口氧化鋯全瓷冠精密重建
- CASE 1


- CASE 2

治療前
治療後

治療前
治療後

治療前
治療後
免責聲明:效果因人而異,必須跟從專業醫師指引