楊小姐年紀不大,但是從小因為蛀牙而做了很多假牙,又因為在鄉下沒有好的醫療環境,所以被假牙包覆住的牙齒早就腐壞,讓她很自卑,拜植牙之賜,楊小姐將一口壞牙換成漂亮又不怕蛀牙的植牙,現在她終於有自信開懷大笑。

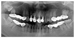
X 光片

術前X光片

術後X光片

植牙過程

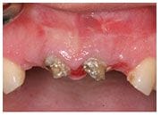
治療前

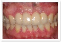
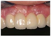
治療後


治療後-全口


植牙實例