沈醫師
                                                                  沈醫師本身是忙碌的急診科醫師,因此忽略了自己牙齒的健康,由於本身是醫師,對於植牙醫師的選擇更是重視,因為肯定黃醫師留美的正統學經歷,加上許多正面的評價,因此選擇至本診所就診,沈醫師的微創植牙療程短,且只需要3~4次的門診時間,對於繁忙的工作完全不受影響,也不曾因為疼痛而擔誤工作,沈醫師對於微創植牙非常滿意,又陸續介紹媽媽及外婆前來植牙。
                                           
                                      X 光片
.jpg) 
術前X光片
.jpg) 
術後X光片
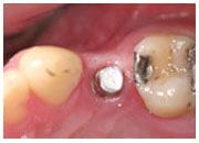
植牙過程
.jpg) 
治療前
.jpg) 
植入植體
.jpg) 
治療後
 
             
    
   
        
       
        
       
        
       
        
       
      