林小姐
林小姐在很年輕的時候,就因先天性牙周病而喪失大部分的牙齒,因為不適應,上顎的全口假牙,一直無法好好的吃東西,孝順的兒子不忍媽媽因為飲食不正常,而使得健康每況愈下,上網查詢到本診所,被院長留美的正統學歷所吸引,於是出錢為媽媽進行全口植牙重建,現在重新擁有一口好牙的林小姐,比實際年齡還要青春美麗。
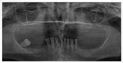
X 光片
術前X光片
術後X光片
植牙過程
林小姐求診時, 上顎無牙
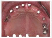
林小姐上顎微創植牙10顆
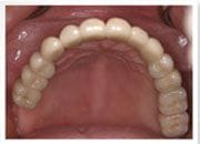
上顎植牙假牙完成, 恢復美觀及咀嚼功能
林小姐求診時, 下顎牙齒嚴重牙周病, 咀嚼功能喪失
林小姐下顎微創植牙11顆, 植牙時間僅1小時, 術後免縫線
下顎植牙假牙完成照片, 林小姐重新獲得一副新的牙齒, 從此不需擔心蛀牙, 也沒有牙周病的問題

林小姐從無法咀嚼, 不敢開口, 植牙後可以自信的開懷大笑, 大口吃東西, 宛如重獲新生