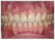
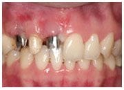
陳小姐在本診所經過矯正治療後,想要讓排列整齊的牙齒更漂亮,於是將舊有不美觀的假牙換掉,以更優質的全瓷冠人工植牙重建,同事們都說她簡直像變了一個人,不但有漂亮的瓜子臉,牙齒更是自然漂亮,完全看不出來有做過假牙,這就是全瓷冠植牙的魔力。

X 光片

術前X光片

術後X光片

植牙過程

治療前

植入植體

治療後


植牙實例