植牙合併氧化鋯假牙全口重建案例

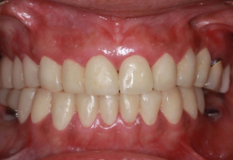
因為下頷後牙缺牙,蕭小姐尋求下頷後牙植牙治療,由於口內其他牙齒均因蛀牙或過度磨耗呈現齒質鬆軟崩裂等現象,不但影響美觀,對於咀嚼也造成不便,加上磨耗的牙齒有酸軟無力現象,因此蕭小姐決定除了下頷後牙植牙治療外,其他牙齒的假牙重建也一併處理。
如圖1.2.3.4.5
 

圖1

圖2

圖3

圖4

圖5



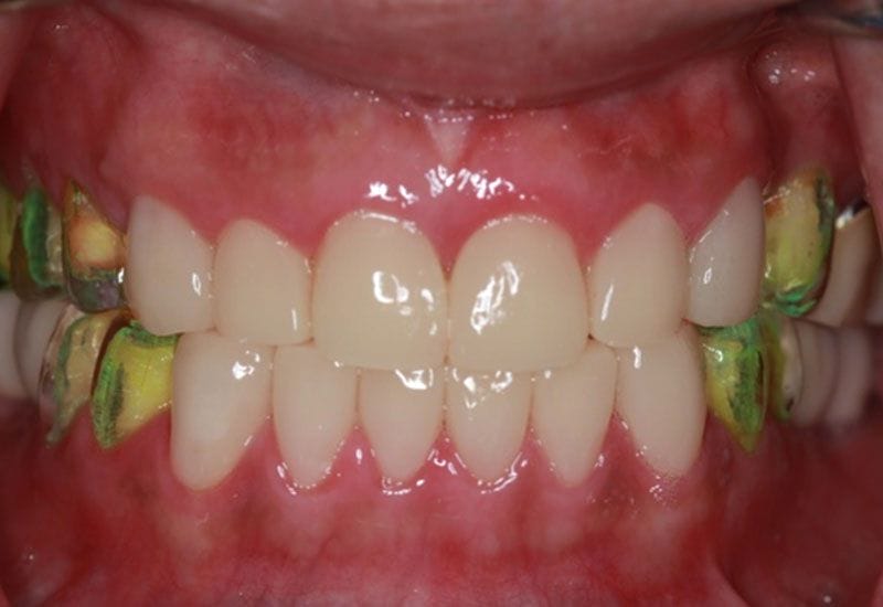
圖6

首先 假牙專科醫師先為病人訂定一個符合理論的咬合高度於咬合器上,經過全口精密分析,陳柏均醫師為蕭小姐訂下了適合他的咬合高度與上下顎的顎間關係然後做全口的蠟型設計與雕刻,並製作成臨時假牙外殼
如圖6
 



接著,陳柏均醫師以此蠟型高度為病人進行欲重建牙齒的修磨和臨時假牙,病患之後將配戴此臨時假牙做約1-3個月的試戴觀察。

臨時假牙階段非常重要,此階段的目的在於觀察牙齒經過修磨後,咬合是否適應,以及牙齒神經是否敏感或疼痛
如圖7

圖7



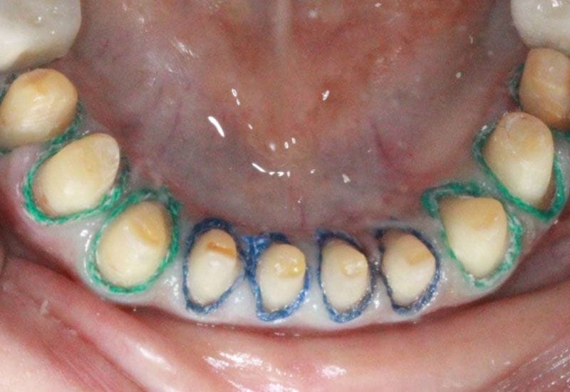
經過長時間1-3個月的觀察與分析 在確立新的咬合顎間關係沒有問題後,將精密印模 預備送往技工所,由專業技師製作氧化鋯全瓷冠 將其復形
如圖8.9
 

圖8

圖9



氧化鋯全瓷冠為牙醫師精密印模後 資深技師將牙醫師臨床印的精密模型灌模

之後,模型以電腦掃瞄 電腦分析設計 電腦磨出(CAD CAM) 即Computer aided design/Computer aided manufacturing等步驟 製作精密且耐用的氧化鋯基底全瓷冠,由於技師可以在電腦上分析並設計假牙的外型與咬合關係,大大節省與牙醫師臨床的調整且大大改善了整體全口假牙重建的精密度。

首先,在電腦軟體裡分析設計的假牙,會先以超硬壓克力輸出。陳柏均醫師將以此壓克力假牙,先於病人口內試戴,調整外型,咬合等
如圖10.11

圖10

圖11



圖12

E在陳柏均醫師精密的調整咬合與外型後,技師將再次掃瞄這些超硬壓克力假牙,將其輸入電腦中,做另一次精密修正,最後將此外型以氧化鋯材質電腦精密磨出,製作成最終氧化鋯假牙全瓷冠
如圖 12.



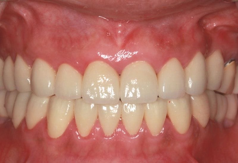
假牙完成後 病患恢復咬合功能,微笑曲線的建立與全瓷假牙的治療,讓病患有自信的笑容,牙齒也因為有了保護而減低敏感度,此後建議病患定期回診 並已製作咬合板 請病患於睡覺時配戴 防止夜間磨牙的高咬合力量造成假牙或牙齒的損害
如圖13.14

圖13

圖14


結論:

以電腦掃瞄 電腦分析設計 電腦磨出(CAD CAM) 即Computer aided design/Computer aided manufacturing等步驟 製作精密且耐用的氧化鋯基底全瓷冠,不但兼顧功能性,強度高,也減少傳統金屬基底瓷牙製作上的誤差與不美觀,更重要的是因為精密電腦的分析與設計,大大節省病人多顆假牙製作上的誤差與增加了精密度。臨床上的調整時間也因此降低,增加了病人的舒適度。

現今歐美國家已經趨勢於氧化鋯電腦全瓷冠的治療,台灣在此領域也跟上時代腳步,並與歐美技術同步,有成熟的技術與經驗,實為患者一大福音,也為台灣的牙科治療建立一個新的里程碑。
 

假牙膺復專科
陳柏均  醫師

植牙實例