糖尿病高血壓植牙


糖尿病,高血壓都是現代人很常見的文明病,其實只要按照醫師的指示,與醫師配合植牙通常不是太大的問題

糖尿病患的特徵是身體組織內血糖較高,傷口癒合較慢,傷口若遭遇細菌侵入,容易引起感染。所以,糖尿病患者的血糖若能控制良好,進行植牙手術的安全性也能相對的提高。

通常我們會建議,手術前能讓內科醫師與植牙醫師聯合掌握病患的狀況,包括用藥歷史、過往的血糖指數追蹤等,血糖濃度控制好了,再搭配上植牙手術前的抗生素服用,植牙手術就能放心又順利。

針對有長期用藥習慣的高血壓患者,要作植牙手術前一定要讓植牙醫師知道,一般不需要停藥。藥物特性若會影響手術進行,則需停藥數日,才能進行手術。

有些高血壓病患或心血管疾病患者長期服用低劑量抗凝血劑(如阿斯匹靈),術前最好停藥五日,以免術後流血不止。
對糖尿病,高血壓病患來說,只要症狀經由藥物獲得良好控制,人工植牙仍然是缺牙治療的優質選擇。

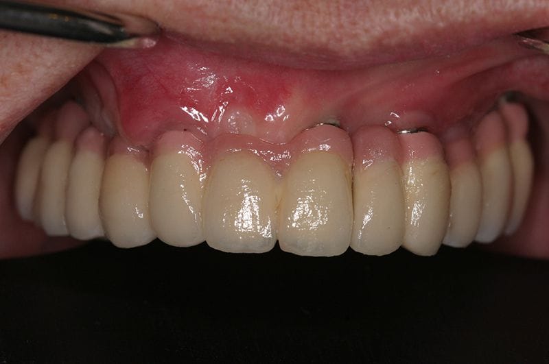
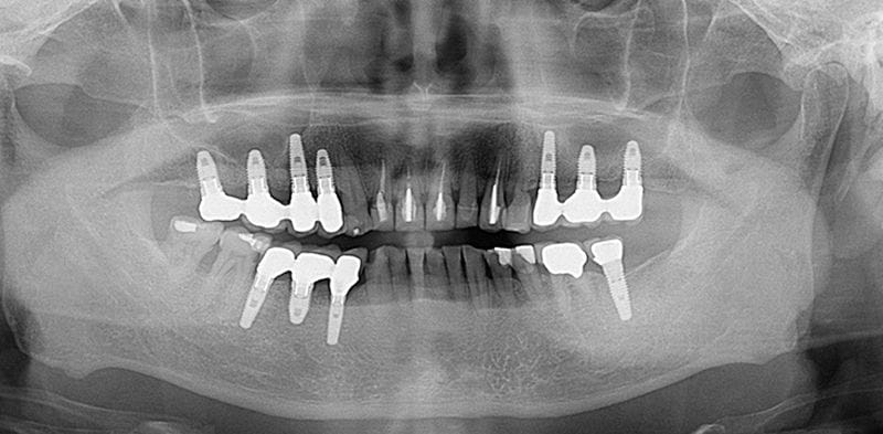
案例分享

術前照片

術後照片


術前X光片

術後X光片


術前X光片

術後X光片


植牙實例