施小姐
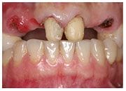
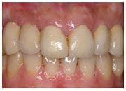
施小姐長相十分甜美,但是一直為小時候所做的門牙假牙不美觀所苦, 經過黃醫師為其訂立前牙美容美化的治療計畫後,以極其自然與美觀兼顧的全瓷冠人工植牙, 還給施小姐一個更美麗的笑容。
X 光片
 
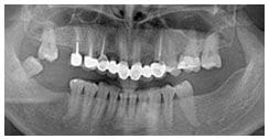
術前X光片
 
術後X光片
植牙過程
 
治療前
 
治療後

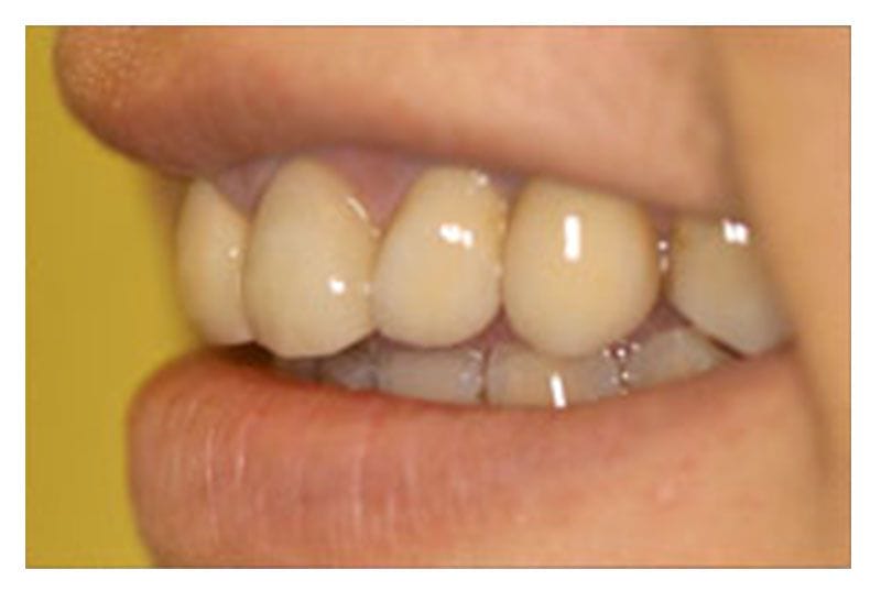
治療後-口外側面
施小姐長相十分甜美,但是一直為小時候所做的門牙假牙不美觀所苦, 經過黃醫師為其訂立前牙美容美化的治療計畫後,以極其自然與美觀兼顧的全瓷冠人工植牙, 還給施小姐一個更美麗的笑容。
術前X光片
術後X光片
治療前
治療後
治療後-口外側面