何先生
移民澳州的何先生,長期以來飽受缺牙之苦,原以為時常往來世界各地經商,無法好好的治療牙齒,下定決心植牙後,才知道原來植牙的療程並不複雜,也不需要耗費太多時間,要利用幾次休閒度假回台的時機,就輕鬆完成,全口的植牙重建。 現在,何先生每半年回台與我們笑談他品嚐世界各地美食的經驗。
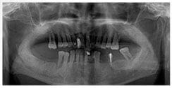
X 光片
術前X光片
術後X光片
植牙過程
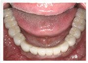
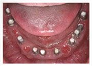
治療前
植入植體
治療後
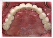
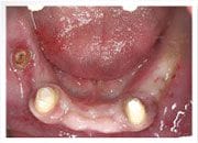
治療前
植入植體
治療後
