林董事長
林董事長多年來都在大陸經商,由於在大陸不方便看牙齒,又加上生意忙碌,長期忽略牙周病的問題,導致來求診時,已經演變成嚴重牙周病,無法保留牙齒,因此進行全口的 3D 電腦斷層植牙,全口植牙只花了一小時的時間,不需要縫線。
林董事長現在又重新擁有了健康的 28 顆牙齒,對於平時的社交應酬,再也不需遮遮掩掩, 而可以安心的高談闊論。
林董事長現在又重新擁有了健康的 28 顆牙齒,對於平時的社交應酬,再也不需遮遮掩掩, 而可以安心的高談闊論。
X 光片
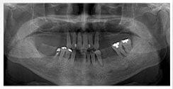
術前X光片
術後X光片
植牙過程
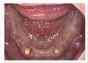
治療前
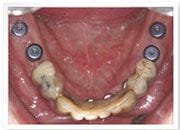
下顎-植入植體
治療後
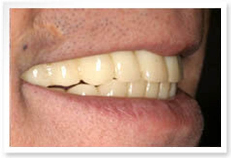
治療後-口外正面
治療後-口外側面