王先生
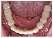
                                                                  王先生遠從台中縣后里而來,正值中壯年,但是下顎已經全部無牙,必須配戴全口假牙,由於全口假牙咬合力量不足,並且戴起來不自然不舒適,常因為大笑或在吃東西時就面臨脫落的尷尬,經由友人推薦前來本診所求診。
黃醫師以3D電腦斷層進行精密的術前評估,並且於全口進行微創植牙,平均每顆植牙僅需 3~5 分鐘,植牙後王先生不需要吃止痛藥,不適感也很輕微, 並且在 3個月後就完成所有假牙,第一次回診,王先生開心的說,他終於又可以吃他最愛的又硬又脆的白甘蔗。
                                      黃醫師以3D電腦斷層進行精密的術前評估,並且於全口進行微創植牙,平均每顆植牙僅需 3~5 分鐘,植牙後王先生不需要吃止痛藥,不適感也很輕微, 並且在 3個月後就完成所有假牙,第一次回診,王先生開心的說,他終於又可以吃他最愛的又硬又脆的白甘蔗。
X 光片
 
術前X光片
 
術後X光片
植牙過程
 
治療前
 
植入植體
 
治療後

 
             
    
   
        
       
        
       
        
       
        
       
      