黃女士

黃女士,全口已全部無牙,須配戴全口假牙,由於全口假牙咬合力量不足,並且戴起來不自然不舒適,常因為大笑或在吃東西時就面臨脫落的尷尬,經由親戚推薦前來本診所求診。
經過本診所細心治療,現在吃東西已經能順利咀嚼,黃女士感謝本診所為它改善飲食上的不便。
X 光片
術前X光片
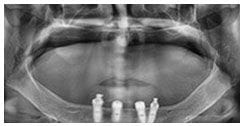
術後X光片
植牙過程
治療前
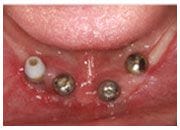
植入植體
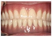
治療後
黃女士,全口已全部無牙,須配戴全口假牙,由於全口假牙咬合力量不足,並且戴起來不自然不舒適,常因為大笑或在吃東西時就面臨脫落的尷尬,經由親戚推薦前來本診所求診。
經過本診所細心治療,現在吃東西已經能順利咀嚼,黃女士感謝本診所為它改善飲食上的不便。
術前X光片
術後X光片
治療前
植入植體
治療後